The journey of an entrepreneur is often marked by dedicated hard work, persistence, patience, achievements, risks, uncertainty, fear, and challenges. The…
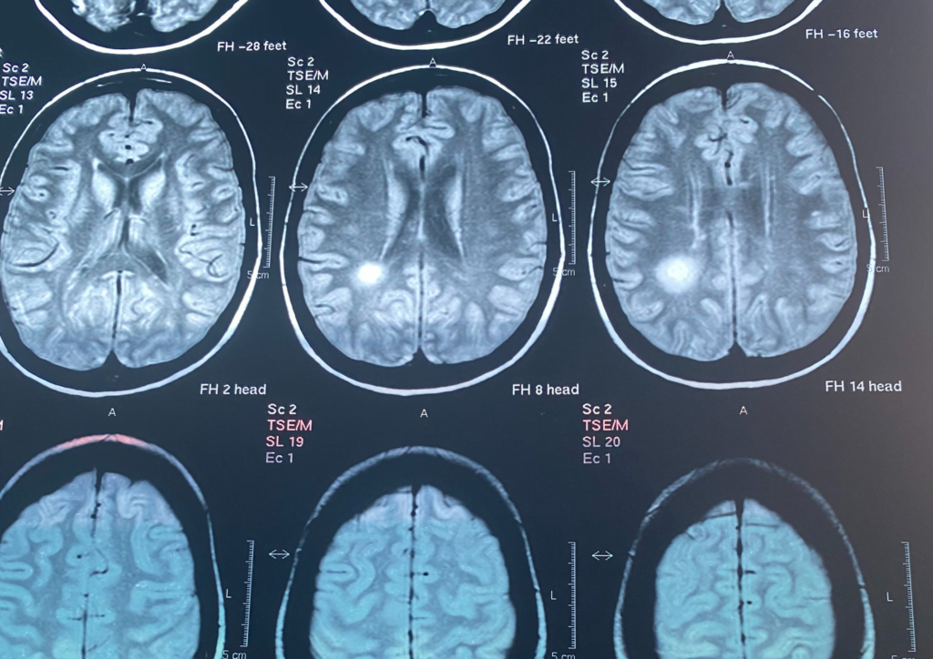
Selective perfectionism offers a valuable perspective for individuals living with multiple sclerosis (MS), where conserving energy is vital. In pursuing…